|
Answer
to Case 83
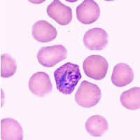
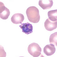
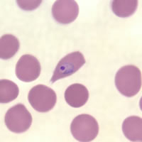
This was a case of malaria caused by Plasmodium ovale. The diagnostic
features observed were:
-
Trophozoites with sturdy chromatin were observed in enlarged red blood
cells containing Schüffner's dots (Figures A and B).
- Rings
were observed in red blood cells which were oval, enlarged, and fimbriated
(Figure C).
- Round
to oval gametocytes were found filling the red blood cells, which were
enlarged and contained Schüffner's dots (Figure D).
 |
 |
| A |
B |
 |
 |
| C |
D |
|
|