Monthly Case Studies [Last Modified: ]

Case 65
A 60-year-old Vietnamese man was referred to a gastroenterologist due to anemia of unknown etiology.  The man had no gastrointestinal complaints.  An endoscopic examination revealed three small worms in the duodenum.  The worms, estimated to be approximately seven to eight millimeters long, were seen free in the intestinal lumen.  The worms were recovered and sent to the pathology department to be sectioned and stained.  Two slides were prepared by the pathologist and sent to CDC's reference laboratory for assistance in making an identification (Figures A, B, and C).  What is your diagnosis?  Based on what criteria?

Case 65 Image A Case 65 Image B
A B

 

Case 65 Image C
C

Click here for the answer to Case 65.

Case 66
This case does not involve a human.  However, we thought that the information was interesting and worthy of sharing.

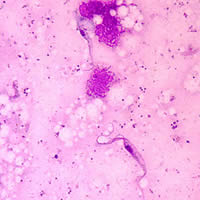
A biologist at a university in the state of Tennessee made a Giemsa stained smear of urine obtained from a single insect, similar to the one shown in Figure A.  The insect was found by a physician from Mexico in the outdoor hallway of an apartment complex in Tennessee.  Several similar insects that ranged in size from 13 to 25 micrometers in length were found in the hallway.  What kind of insect is shown in Figure A?  What are the organisms shown in Figures B, C, and D?  Do your findings have any public health significance?

Case 66 Image A
A

 

Case 66 Image B Case 66 Image C
B C

 

Case 66 Image D
D

Click here for the answer to Case 66.

Images presented in the monthly case studies are from specimens submitted for diagnosis or archiving.  On rare occasions, clinical histories given may be partly fictitious.

 

Back Top