|
Plasmodium
falciparum: Schizonts
Figs. 19-25: Increasingly
mature schizonts; Fig. 26: Ruptured schizont.
Illustrations from:
Coatney GR, Collins WE, Warren M, Contacos PG. The Primate Malarias. Bethesda:
U.S. Department of Health, Education and Welfare; 1971.
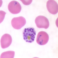
Smears from patients:
Schizonts are seldom seen in peripheral
blood. Mature schizonts have 8 to 24 small merozoites; dark pigment, clumped in one mass.
 |
 |
| A |
B |
A:
Immature schizont in thin blood smears.
B: Mature schizont.
 |
 |
| C |
D |
C, D:
Ruptured schizonts in a thin blood smear.
|