|
Plasmodium
malariae: Ring Stage Parasites
Fig. 1:
Normal red cell; Figs. 2-5: Rings.
Illustrations from:
Coatney GR, Collins WE, Warren M, Contacos PG. The Primate Malarias. Bethesda: U.S.
Department of Health, Education and Welfare; 1971.
Smears from patients:
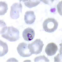
Plasmodium
malariae rings have sturdy cytoplasm and a large chromatin dot. The
red blood cells (RBCs) are normal to smaller than normal (3/4×) in size.
A, B,
C: Ring forms in thin blood smears.
 |
| D |
D: A thick blood
smear showing two rings (lower right) and a gametocyte.
|