|
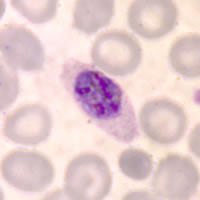
Plasmodium
ovale: Schizonts
Increasingly mature schizonts.
Illustrations from:
Coatney GR, Collins WE, Warren M, Contacos PG. The Primate Malarias.
Bethesda: U.S. Department of Health, Education and Welfare; 1971.
Smears from patients:
Plasmodium
ovale schizonts have 6 to 14 merozoites with large nuclei, clustered around mass of dark-brown pigment.
Red blood cells are normal to slightly enlarged (1 1/4×), may be round to oval, and
are sometimes fimbriated. Schüffner's dots are visible under optimal
conditions.
A, B,
C: Schizonts of P. ovale in thin blood smears. All of
these infected blood cells are oval. A and C have
minor fimbriation.
 |
| D |
D:
Schizont in a thick blood smear.
|