|
Plasmodium
ovale: Trophozoites
Increasingly mature
trophozoites. Note the fimbriated red cells (Figs. 8, 13).
Illustrations from: Coatney
GR, Collins WE, Warren M, Contacos PG. The Primate Malarias. Bethesda: U.S. Department
of Health, Education and Welfare; 1971.
Smears from patients:
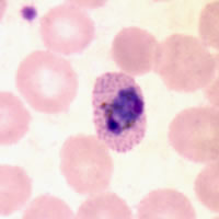
Plasmodium
ovale trophozoites have sturdy cytoplasm, large chromatin dots, and can
be compact to slightly amoeboid. Red blood cells are normal to slightly enlarged
(1 1/4×), may be round to oval, and are sometimes fimbriated. Schüffner's
dots are visible under optimal conditions.
 |
 |
| A |
B |
A, B: Trophozoites of P. ovale in thin blood smears. A is
slightly amoeboid. B shows a more compact trophozoite and Schüffner's dots.
 |
| C |
C:
Trophozoite in a thick blood smear.
|