Diagnostic Findings [Last Modified: ]
Malaria
[Plasmodium falciparum] [Plasmodium malariae]
[Plasmodium ovale] [Plasmodium vivax]

Causal Agent Life Cycle Geographic Distribution Clinical Features Laboratory Diagnosis Treatment

Plasmodium vivax: Gametocytes

P. vivax gametocytes

Fig. 28 and 29: Nearly mature and mature macrogametocyte (female); Fig. 30: Microgametocyte (male).
Illustrations from: Coatney GR, Collins WE, Warren M, Contacos PG. The Primate Malarias. Bethesda: U.S. Department of Health, Education and Welfare; 1971.

Smears from patients:

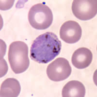
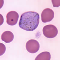
Plasmodium vivax gametocytes are round to oval with scattered brown pigment and may almost fill the red blood cell (RBC).  RBCs are enlarged 1 1/2 to 2× and may be distorted.  Under optimal conditions, Schüffner's dots may appear more fine than those seen in P. ovale.

P. vivax gametocyte - thin smear P. vivax gametocyte - thin smear P. vivax gametocyte - thin smear
A B C

A, B, C: Gametocytes of P. vivax in thin blood smears.  Schüffner's dots can be seen in B and C.

Back Top