Diagnostic Findings [Last Modified: ]
Malaria
[Plasmodium falciparum] [Plasmodium malariae]
[Plasmodium ovale] [Plasmodium vivax]

Causal Agent Life Cycle Geographic Distribution Clinical Features Laboratory Diagnosis Treatment

Plasmodium vivax: Ring Stage Parasites

P. vivax ring stage

Fig. 1: Normal red cell; Figs. 2-6: Ring stage parasites (young trophozoites).
Illustrations from: Coatney GR, Collins WE, Warren M, Contacos PG. The Primate Malarias. Bethesda: U.S. Department of Health, Education and Welfare; 1971.

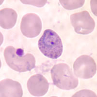
Smears from patients:

Plasmodium vivax rings have large chromatin dots and can show amoeboid cytoplasm as they develop.  Red blood cells (RBCs) can be normal to enlarged up to 1 1/2× and may be distorted.  Under optimal conditions, Schüffner's dots may be seen.

P. vivax ring - thin smear P. vivax ring - thin smear P. vivax ring - thin smear
A B C

A, B, C: Rings in thin blood smears.  A and C: Rings are amoeboid and the RBCs are enlarged and distorted.  B: Ring with double chromatin dot.  Schüffner's dots can be seen in B and C.

Back Top