Diagnostic Findings [Last Modified: ]
Malaria
[Plasmodium falciparum] [Plasmodium malariae]
[Plasmodium ovale] [Plasmodium vivax]

Causal Agent Life Cycle Geographic Distribution Clinical Features Laboratory Diagnosis Treatment

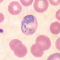
Plasmodium vivax: Trophozoites

P. vivax trophozoites

Figs. 8-18: Increasingly mature trophozoites of P. vivax.
Illustrations from: Coatney GR, Collins WE, Warren M, Contacos PG. The Primate Malarias. Bethesda: U.S. Department of Health, Education and Welfare; 1971.

Smears from patients:

Plasmodium vivax trophozoites show amoeboid cytoplasm, large chromatin dots, and have fine, yellowish-brown pigment.  Red blood cells are enlarged 1 1/2 to 2× and may be distorted.  Under optimal conditions, Schüffner's dots may appear more fine than those seen in P. ovale.

P. vivax trophozoite - thin smear P. vivax trophozoite - thin smear P. vivax trophozoite - thin smear
A B C

A, B, C: Large, amoeboid trophozoites of P. vivax in thin blood smears.

Back Top