 |
[Last Modified: ] |
 |
|
[Plasmodium
falciparum] [Plasmodium malariae]
[Plasmodium ovale] [Plasmodium vivax] |
|
|
|
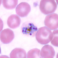
Plasmodium
malariae: Schizonts
Smears from patients:
Plasmodium
malariae schizonts have 6 to 12 merozoites with large nuclei, clustered
around a mass of coarse, dark-brown pigment. Merozoites can occasionally
be arranged as a rosette pattern. The red blood cells (RBCs) are normal to smaller than
normal (3/4 ×) in size.
A,
B, C: Schizonts of P. malariae in thin blood smears. C has the appearance of a rosette pattern.
 |
| D |
D:
Thick blood smear showing a schizont.
|