|
Plasmodium
falciparum: Ring Stage Parasites
Fig. 1: Normal
red cell; Figs. 2-10: Increasingly mature ring stage parasites.
Illustration from:
Coatney GR, Collins WE, Warren M, Contacos PG. The Primate Malarias. Bethesda: U.S.
Department of Health, Education and Welfare; 1971.
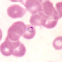
Smears from patients:
Plasmodium
falciparum rings have delicate cytoplasm and 1 or 2 small chromatin
dots. Red blood cells (RBCs) that are infected are not enlarged; multiple infection of RBCs more common
in P. falciparum than in other species. Occasional appliqué
forms (rings appearing on the periphery of the RBC) can be present.
A, B,
C: Multiply infected red blood cells with appliqué forms
in thin blood smears.
 |
 |
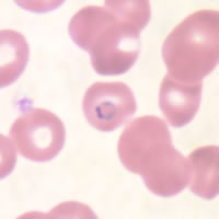
| D |
E |
D:
Signet ring form.
E: Double chromatin dot.
 |
| G |
G: A thick
blood smear showing many ring forms of P. falciparum.
|