|
Life cycle
 |
| 3 |
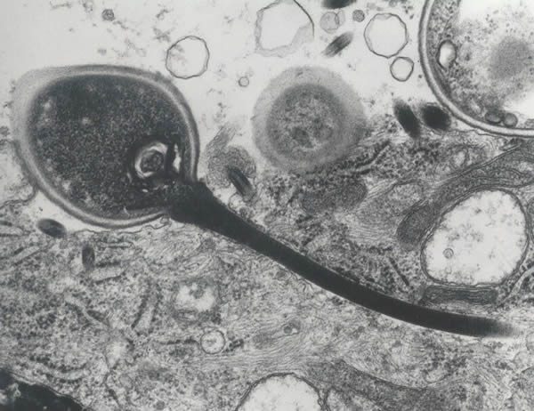
Figure contributed by Dr. Massimo Scaglia, Laboratory of Clinical Parasitology, Institute of Infectious Diseases, University-IRCCS San Matteo, Pavia, Italy.
3:
Transmission electron micrograph of a microsporidian spore with an extruded polar tubule
inserted into a eukaryotic cell. The spore injects the infective sporoplasms through
its polar tubule.
|
|