|
Microscopy
 |
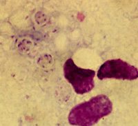
| A |
A: Pneumocystis
jiroveci
trophozoites in bronchoalveolar lavage (BAL) material. Giemsa stain. The
trophozoites are small (size: 1 to 5 µm), and only their nuclei, stained purple, are visible
(arrows). AIDS patient seen in Atlanta, Georgia.
 |
 |
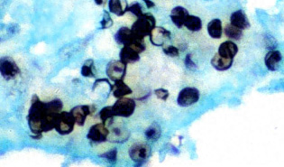
| B |
C |
Pneumocystis
jiroveci cysts
B: 3 cysts in bronchoalveolar material, Giemsa stain; the rounded cysts
(size 4 to 7 µm) contain 6 to 8 intracystic bodies, whose nuclei are stained by Giemsa; the
walls of the cysts are not stained; note the presence of several smaller, isolated
trophozoites.
C: Cysts in lung tissue, silver stain; the walls of the cysts are stained
black; the intracystic bodies are not visible with this stain; baby who died with
pneumonia in California.
 |
| D |
D: Pneumocystis
jiroveci cysts in bronchoalveolar lavage material; silver stain; this greater magnification shows the
irregular, saucer shape of the cysts.
 |
| E |
E: Indirect immunofluorescence using
monoclonal antibodies against Pneumocystis jiroveci. Specimen from a patient
with AIDS, seen in Georgia.
|