| 
    
     Microscopy 
    
    
      
        
          | 
       
      
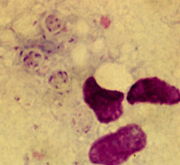
        | A | 
       
     
    
    A: Pneumocystis 
    jiroveci
    trophozoites in bronchoalveolar lavage (BAL) material.  Giemsa stain.  The
    trophozoites are small (size: 1 to 5 µm), and only their nuclei, stained purple, are visible
    (arrows).  AIDS patient seen in Atlanta, Georgia. 
    
    
      
        
          | 
        
          | 
       
      
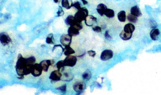
        | B | 
        C | 
       
     
    
    Pneumocystis 
    jiroveci cysts 
    B: 3 cysts in bronchoalveolar material, Giemsa stain; the rounded cysts
    (size 4 to 7 µm) contain 6 to 8 intracystic bodies, whose nuclei are stained by Giemsa; the
    walls of the cysts are not stained; note the presence of several smaller, isolated
    trophozoites. 
    C: Cysts in lung tissue, silver stain; the walls of the cysts are stained
    black; the intracystic bodies are not visible with this stain; baby who died with
    pneumonia in California. 
    
    
      
        
          | 
       
      
        | D | 
       
     
    
    D: Pneumocystis 
    jiroveci cysts in bronchoalveolar lavage material; silver stain; this greater magnification shows the
    irregular, saucer shape of the cysts. 
    
    
      
        
          | 
       
      
        | E | 
       
     
    
    E: Indirect immunofluorescence using
    monoclonal antibodies against Pneumocystis jiroveci.  Specimen from a patient
    with AIDS, seen in Georgia. 
    
    
    
     |